牙齿缺损为什么要及时修复?东西坏了要及时...
牙齿缺损都有哪些修复方案?牙齿缺损很常见...
成年人牙齿缺损该如何治疗?如何治疗生活中...
牙齿缺失的危害有哪些?牙齿是人体的重要器...
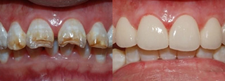
牙齿缺损应该及时修复。牙齿缺损是指牙体...
精彩内容 牙齿出现一点点的不适感,都...
精彩内容 在运动中,由于意外或者是用...
精彩内容 蛀牙是牙科中很常见的疾病,...
精彩内容 引起牙齿缺损的原因有很多,...
病症介绍:一般的牙体缺损可以采用充填的方法...
精彩内容 都说喜欢微笑的人内心是温暖...
牙齿单颗缺失、多颗缺失、全口缺失
唐伯伯全口牙齿缺失,对生活有高度追求,不想做镶牙...[详情]
牙齿不齐、前突、牙齿有缝隙、地包天
15岁上高一的何晓有严重的地包天症状,再加上小时候...[详情]
牙体缺损、氟斑牙、色素牙、种植体修复
小微是一个导购,她的工作要求时刻保持微笑。以前顾客...[详情]
咖啡牙、烟渍牙、四环素牙、氟斑牙
23岁的黄小姐,一直对自己的牙齿都不满意,平时买了...[详情]
儿童牙齿矫正、骨性错牙合畸形
小刚的母亲带着孩子来到了合众齿科,王欣主任亲自接...[详情]
更多牙齿问题点击了解